2021/05/16 日曜日
6時起床
TANITA:51.6kg、体脂肪率 5.8%、筋肉量 46.0kg
GARMIN:52.8kg、体脂肪率 15.0%、筋肉量 24.6kg、骨量2.8kg、水分量 62.0%
資源ゴミ当番
本来ならレースの予定であって、バッチリ成人自分最軽量。高1か中学生のときくらいじゃない?という体重。ムダに。
ワイ「レース中止だってさ」
妻「そうなの?残念だったね(棒読み)、じゃあ資源ゴミ当番できるね🤗」
ワイ「・・・😰」
まあ、ゴミ当番って言われてもブッチ上等な勢いで「レース出るから。出たいから。4年ぶりだから。」って言ったのは自分ですのでちゃんと行きますけどね。
家族がまだ寝ている中、集合30分前の7時に行く。
と、すでに盛大に始まっていて。。??
4月〜10月は7時開始ですって。
サマータイム。どうもすみません😰
脱メタボ
ご近所で妻がお世話になっている方のご主人が、最近だいぶメタボになってきたそうで、シェイプアップする相談を受けており、ちょっとお話しする。
自転車にも興味があるみたい。
40代ミドル
パッと見、そこまでメタボでもないと思いますが
お仕事は8時-8時。日曜休み。
運動経験なし、運動習慣なし。
姶良は激坂が多く、自転車初心者は心がへし折られると思う。週イチだと厳しい。
まず運動習慣をつけることをお勧めした。
1日に30分お子さんとウォーキングから始めてもらうことにした。1ー2ヶ月したら少しずつ走ってみたらいいと思う。
希望があれば一緒に付き合うし、自転車も案内します。
教科書通りな回答だけど、我が身とドロップアウトしていった方々を鑑みると、結局これが一番。
無理せず続けることが大事。
続けさえすれば、あとからナンボでも脳みそがおかしくなってくる。
離している間にゴミ当番完了。仕事したかな?
身体測定
せっかく身軽なので身体測定。忘備録。
頭囲:56.2cm
首回り:35.8cm
胸囲: 86cm、
腹囲: 67.2cm、
ヒップ:85.5cm、
大腿: 右 48.2cm、左 47.8cm、
ふくらはぎ;右 33.4cm、左 33.8cm
足首:右 20.4cm、左 20.4cm
上腕; 右 23.6cm、左 23.4cm
前腕:右 23.4cm、左 22.6cm
手首:右 15cm、左 15cm
手掌周り 右 20cm、左 20cm
今までに2019年6月、12月、2020年2月、8月に同じことしているけど、胸囲-2,3cm、胴囲-3cm、太腿とふくらはぎ-1cm弱、上腕-1cm弱ってところ。見た目とだいたい同じ印象。
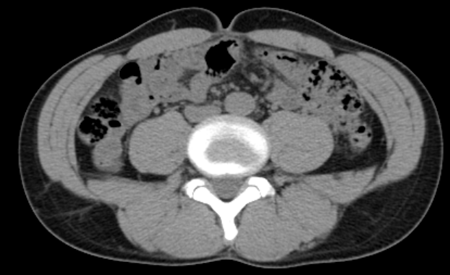
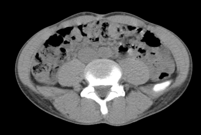
健診でCT撮ったどー
先日、健診でCTを撮ったので2018年 (このときはステロイド漬けで55.8kg、体脂肪率12.0%、筋肉量46.5kg、胴囲74-75cmあった!) と比べてみました。
2018/3/9 皮下脂肪 前12mm、後ろ 32mm

黒いところが脂肪。筋肉の外が皮下脂肪で、内側が内蔵脂肪。
ヘソは凹んでいるし、脇腹後ろにお肉たっぷり。
2021/5/13 皮下脂肪4.3mm、後ろ17mm。

だいぶスッキリ。だけど筋肉量も落ちたかな?
内蔵脂肪はかなり減って臓器同士の境目が分かりにくい。
結果、病気があってもはっきりわかりにくくなってしまった。なんだかな〜
画像の内臓の真っ黒は腸内の空気。けっこうう○こがたまっているので、下剤飲めばもっと体重が落とせるとか、ヒルクライム脳なことを思ってみたり。
いちばん脂肪が厚いところは40mm

同じレベル。今回 19mm

ワキバラの肉はなかなか落ちない
けどこれで体脂肪率15%と言われるとツライよGARMIN先生🤔
腹を殴られたら死にそうな気がしてきた。
3ヶ月ぶりラン
雨が降ったりやんだり。固定ローラーに手を出すが10分で断念。やる気なし。
ひさしぶりに外を30分ほどジョグ
JOG:5.3km、29min、5′34″/km

ひさしぶりなのでゆっくりちょっとだけ
ピッチ>180を意識して
股関節から意識。腰を入れる、体幹固めるはバイクと同じ。
ちょっと雨が降ったけど爽快😄
今後はランもバイクも続けたい。
zwiftもした
もうちょっと時間があったので固定ローラー。
zwift:20min、L2、TSS 15.8
今日もCペースパートナーのCadenceさんと。
登り2.5倍、平坦3.5倍、下り4倍。
zwift地獄。
家族にサーキュレーターを取られて滝汗だった😅🥵😅
20分で終了。
いつの間にか4iiiiのケイデンス信号を拾うようになった。

夕からお仕事。